常凌乾课题组

【研究进展】2025.06 -博士生刘冯等-北航常凌乾《Advanced Science》:面向肿瘤转移预防和治疗的纳米细胞芯片

       针对肿瘤细胞异质性精准筛选等问题,北京航空航天大学常凌乾/董再再,北京大学肿瘤医院吴楠、首都医科大学附属北京友谊医院陈曦(共同通讯作者)合作报道了一种用于肿瘤细胞进化筛选和电重塑的纳米平台SEE Platform)。该系统能够异质性肿瘤样本中侵袭性细胞亚群进行无创筛选,并且通过独特的纳米孔聚焦电场技术对细胞进行基因改造,产生具有显著增强的肿瘤靶向和治疗功能的细胞外囊泡(EVs)。这些EVs有效激活巨噬细胞和T细胞的免疫应答在肿瘤转移的预防和治疗方面展现出显著效果(图1。成果以A nano-electro-platform enabling evolutionary screening and remodeling of tumor cells for metastasis inhibition为题,发表在《Advanced Science》上。论文第一作者为北京航空航天大学生物与医学工程学院博士研究生刘冯,首都医科大学附属北京胸科医院孙宏博士以及北京大学肿瘤医院刘冰博士。


图1.   SEEPlatform的设计及抑制肿瘤转移的原理


       SEE成功实现了对肺癌细胞侵袭性亚群的高效筛选,实验证实该亚群细胞表现出显著的迁移和侵袭能力。通过单细胞测序分析,进一步鉴定了高侵袭性细胞的关键基因,这些基因主要参与肿瘤免疫逃逸相关通路,为阐明肿瘤转移的分子机制提供了重要线索(图2)。

2.   SEE平台筛选的细胞测序分析


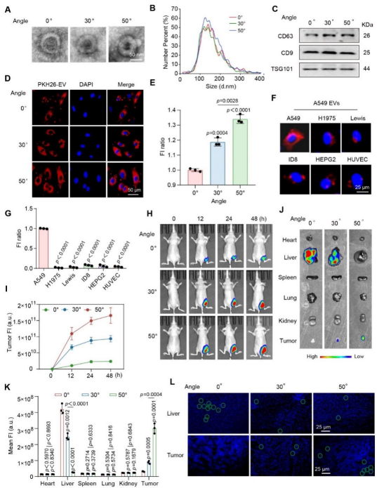
       基于上述发现,研究团队利用SEE平台对该类细胞进行了精准的免疫治疗分子递送和基因改造。通过收集改造后细胞分泌的EVs,并充分利用其固有的肿瘤归巢特性,成功实现了靶向性免疫治疗(图3)。这种创新策略不仅保留了EVs的生物相容性,还显著提升了其肿瘤靶向和治疗效率。

图3. 进化筛选增强了EV对肿瘤细胞的靶向性


       为了评估SEE-EVs在体内抑制肿瘤转移的疗效,研究团队构建了CDX和PDX模型对其治疗潜力进行了系统性评价。基于临床实际治疗场景,该研究设计了两种不同的治疗模式:转移预防模式和转移治疗模式。在转移预防模式中,药物干预应用于肿瘤切除术后,旨在消除残留病灶或循环肿瘤细胞,从而预防转移发生,这一策略主要适用于可手术切除的肿瘤患者。而在转移治疗模式中,药物直接用于已确诊转移性肿瘤患者的治疗。结果显示,SEE-EVs在体内表现出良好的生物相容性和安全性,表明其在药物递送方面具有广泛的适用性。另外,经IFN-γ mRNA和PD-L1 siRNA工程化的SEE-EVs,在转移预防和转移治疗中均表现出显著的治疗效果,其优异的抗肿瘤性能为肿瘤免疫治疗提供了新的策略。

图4. SEE-EVs用于肿瘤转移特异性治疗